Navigation switch
首页
本地教育
酒店加盟
财经周刊
生活资讯
时尚领袖
汽车报价
更多
亲子
地产
智能
体育
健康
新闻
商业
文旅
游戏
科技
食品
娱乐
汽车报价
“赘肉换牛肉”,无锡一街道发起减重挑战赛
中新网3月11日电 近日,江苏省无锡市梁溪区山北街道发起了一项健康减重挑战赛,可以用“赘肉换牛肉”,“2027年1月1日——10日为最终称重兑奖期,凡是参加活动的人员可以赘肉换牛肉:减重1斤赘肉换1斤牛肉或换3斤牛骨
03-11
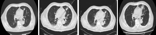
上海医生仅用35分钟一针消融病灶 机器人导航精准治疗
近日,上海市东方医院肿瘤科周彩存教授团队成功为一名高龄、肺功能基础差且病灶紧贴心脏的肺癌患者实施了机器人辅助下经皮穿刺消融手术
03-04
金饰克价跌回1603元 金价波动引关注
2026年3月1日,国际黄金价格升至5279.8美元/盎司。品牌金饰报价在1555至1608元/克之间,银行金条价格差异较大,水贝市场批发价约1330元/克,回收价约1148元/克
03-04
利弗莫尔中概股龙头指数收跌3.67%
利弗莫尔中概股龙头指数收跌3.67%。成分股中,南茂跌超11%,希尔威金属矿业跌9%,金山云、晶科能源跌超8%,小马智行、信也科技等跌超7%,小鹏汽车、唯品会等跌超6%,爱奇艺、奇富科技等跌逾5%;AHG涨10%,携程网、网易小幅上涨。...
03-04
男子买金条打三金时发现铼粉 掺假事件引发关注
湖南岳阳的王先生最近遇到了一件令人揪心的事情。他在中国黄金花费19380元购买了20克金条,准备用于结婚打三金。然而,在打金店进行最后制作时,意外发现金条内含有杂质,怀疑是掺假。经过专业仪器检测,确认金条中掺有铼粉
03-04
小伙退伍归来 全村敲锣打鼓唱歌欢迎
3月2日。贵州从江。据贵阳晚报最黔沿报道,从江小伙黄云龙退伍返回老家,全村的乡亲们站在村口迎接,敲锣打鼓唱歌欢迎黄云龙回家。...
03-04
油价或将于3月9日上调 预计涨幅超10%
3月9日24时,国内成品油价格将迎来调整。当前油价统计已过半,受上周国际油价上涨影响,原油变化率达到3.16%,预计上调油价130元/吨。这意味着汽柴油价格将上涨0.10元至0.12元每升
03-04
零食优选牵手汇通达网络,量贩双寡头格局下探路腰部突围
量贩零食行业迎来又一重磅整合。
03-04
快消八谈
国药系,清算注销一家公司
为提高管理效率及质量,国药系清算注销旗下公司。
03-04
赛柏蓝
陷4.19亿亏损阵痛,商业化2.0时代亚虹医药如何破局?
近日,亚虹医药(688176.SH)发布了2025年业绩快报。
03-04
动脉新医药
首页
上一页
24
25
26
27
28
29
30
下一页
尾页
每页10条(第
27
/ 254 页) 共 2538 条
最新
追觅个护Q1全球业绩大幅增长,拟于硅谷发布新品
2026年第一季度,追觅科技个护业务在全球主要市场实现较快增长。根据公司披露数据,北美市场销售额同比增长900%,日韩及澳大利亚市场总销售额同比增长800%,东北欧市场同比增长550%,西南欧市场同比增长250%,中国市场同比增长200%。
华网测评丨挂耳咖啡测评:永璞、瑞幸、隅田川
华网测评研究所,种草排雷有一手。
金价过山车 银行“掘金”热情不减
今年国际金价走出“过山车式”行情,伦敦金现自1月29日冲高至5598.75美元/盎司的历史高位后,一度又震荡回调至4098.25美元/盎司,随后再度逐步震荡走高,市场不确定性显著提升。
港股集结冲锋 国产乳业迈入发展新周期
资本的加持将推动企业在研发创新、品质升级、全球化布局上持续发力,告别粗放式规模竞争,转向精细化价值竞争。
闪送扭亏了,然后呢?310万骑手抢2.5亿单 平均每日5个骑手分1单
当巨头们同样在低空铺开网络,闪送的先发优势能维持多久,仍是未知数。
抢注“0糖”“0脂”,东鹏饮料陷商标漩涡
在健康消费风潮下,消费者对“0糖”“0脂”的青睐,引发众多知名品牌抢注商标。
华熙生物盈利靠节流
靠省钱换来的净利润增长,难掩三大核心业务全线萎缩的营收颓势。
法人被抓、代表判刑!药企放假“避险”,带金销售“大限将至”,谁能生还?
反腐风暴,不再是一吹就走的“台风”,或将成为医药行业的未来常态。
圆心科技再次冲刺港交所,相比两年前有什么不同?
2026年4月22日,港交所官网又一次出现北京圆心科技集团的招股书——这家医疗独角兽再次叩响资本市场的大门。
雀巢费耐瑞:中国市场持续修正渠道与库存,预计年内逐步回暖
雀巢一季度有机增长率3.5%,其中实际内部增长率1.2%、定价贡献率2.3%,旗下咖啡、食品与零食等核心品类表现亮眼,新兴市场保持良好势头。
友情链接
中文资讯网
数字资产网
区块链网
科技在线
财富综合资讯
女性时尚网
在线新闻
派农源-文化旅游资讯
财经新闻网
环球快讯
世界新闻网
全网新闻门户
全网新闻门户
南方新闻网
四方新闻
猛料新闻门户
安徽新闻网
数码新闻
人人新闻
区块新闻网
日报新闻
奇奇新闻网
上海科技网
信阳新闻
武威新闻
影视追踪
青岛新闻
微商新闻
Global商务
巴士快讯
中国报刊网
东北资讯
平阳网
多维新闻门户
旅行快讯
物联网
5G 模组在线
海外推广资讯
海外发稿网
海外推广
Back to top
最新
追觅个护Q1全球业绩大幅增长,拟于硅谷发布新品
华网测评丨挂耳咖啡测评:永璞、瑞幸、隅田川
金价过山车 银行“掘金”热情不减
港股集结冲锋 国产乳业迈入发展新周期
闪送扭亏了,然后呢?310万骑手抢2.5亿单 平均每日5个骑手分1单
抢注“0糖”“0脂”,东鹏饮料陷商标漩涡
©版权 2009-2020 武威新闻 WuweiNews.com.cn
联系我们
SiteMap